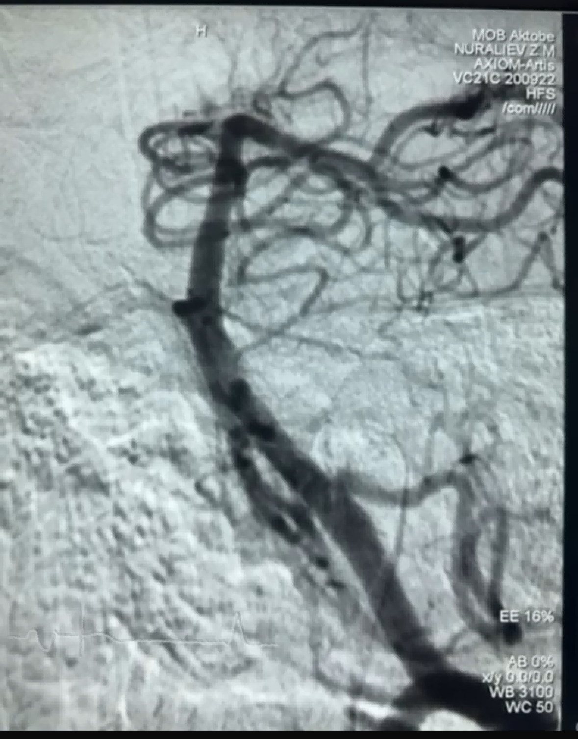
Baru-baru ini, terdapat kes trombektomi yang berjaya menggunakan Dredger Stent Retriever dari NeuroSafe Medical Co., Ltd. Dredger Stent Retriever mempunyai hujung lembut yang tidak invasif, yang dapat mengurangkan risiko kerosakan intim dengan banyak, dan mempunyai lubang berbentuk khas yang unik reka bentuk yang menangkap bekuan darah terutamanya dengan mengapit perubahan jurang.





